Palato stretto, arcate dentarie contratte, morso incrociato. Per correggere queste anomalie dovute a uno sviluppo non corretto del mascellare superiore, si eseguono trattamenti di espansione per migliorare l’estetica e le funzionalità respiratorie, di masticazione e fonazione dell’apparato orale.
Attraverso l’applicazione di espansori palatali, apparecchi generalmente disposti sui denti superiori, si espande il palato troppo stretto in tempi brevi. Il trattamento risulta essere notevolmente più efficace quando eseguito durante l’età dello sviluppo.
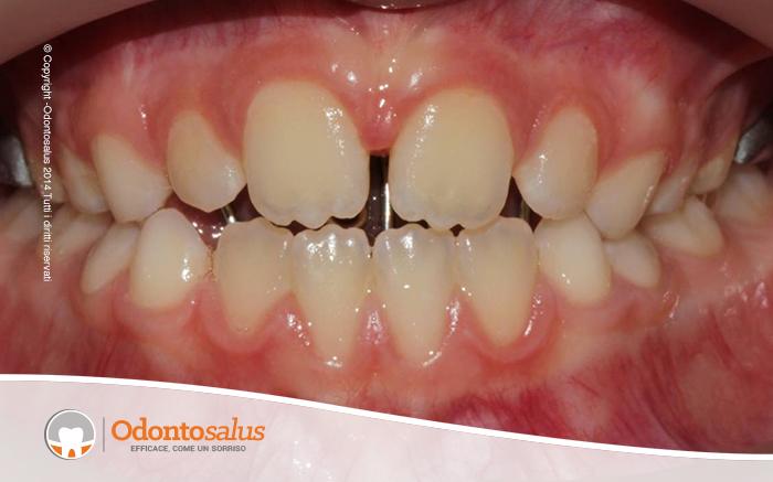
DESCRIZIONE DEL CASO
Piccolo paziente con morso aperto, causato da una probabile deglutizione infantile atipica, e presenza di cross bite posteriore (morso incrociato).
È stato applicato un espansore palatale per allargare il mascellare superiore e dare spazio ai denti permamenti che eromperanno. In aggiunta è stata inserita una griglia anteriore al fine di ridurre o condizionare la deglutizione atipica infantile.
Gallery


