La presenza dei denti da latte, la mancanza di spazio o un’anomala posizione può causare l’inclusione dei denti, una delle problematiche ortodontiche che, se diagnosticata precocemente, può essere trattata in modo da ottenere la corretta e completa guarigione, evitando la formazione di sintomi dolorosi e patologie che ci porterebbero all’estrazione.
L’inclusione dei canini si verifica quando viene a mancare la loro spontanea eruzione in arcata, in sostituzione o meno dei corrispettivi elementi da latte. Se i canini in oggetto non hanno la giusta forza per erompere procediamo con la rimozione degli stessi e, a seconda dei casi, realizziamo e applichiamo un impianto.
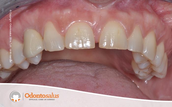
DESCRIZIONE DEL CASO
Il paziente si presenta in studio con il canino in inclusione (elemento 13).
Inizialmente è stato effettutao un trattamento ortodontico per riportare l’elemento incluso in arcata. Tuttavia, come a volte accade in relazione all’età del paziente, alla densità ossea o alla posizione del dente incluso, ortodonticamente non è stato possibile riallineare il canino con gli altri denti. Si è proceduto, pertanto, con l’incisione del lembo, la scopertura e l’estrazione del canino, il riempimento del deficit osseo creato, l’applicazione dell’impianto e, data la sua stabilità, l’inserimento del provvisorio nella stessa seduta.
A distanza di circa tre mesi è stato inserito l’elemento definitivo, per un ottimo risultato sia funzionale, salvaguardando la gengiva e l’osso, che estetico.
Gallery









